- VNAVLN - Otra innovación desarrollada por VINNO es "VNavln". Esta herramienta muestra imágenes, navegando dentro del volumen 3D, como un endoscopio virtual.
La vesícula biliar con la herramienta VNavIn 3D muestra la vista panorámica en tres dimensiones de la vesícula biliar interna. Esto ayuda a visualizar una lesión / estructura y su anatomía circundante.
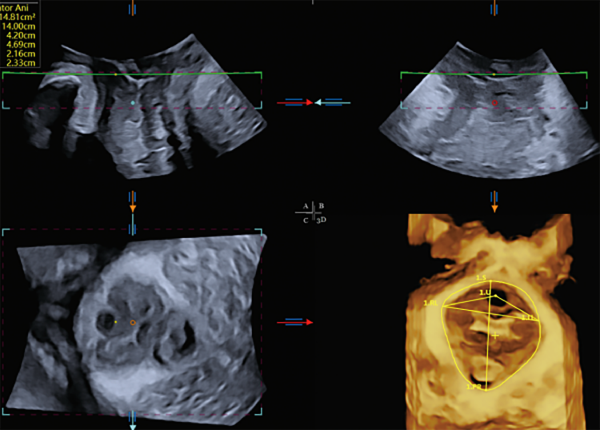
VINNO Technology introduce una nueva tecnología que utiliza inteligencia artificial (IA) para la medición pélvica, VAim Levator Ani y VAim Ant. Pelvic, ésta proporciona resultados de medición pélvica con un solo toque. Permite evaluar la estructura pélvica posparto de una manera fácil y precisa.
Los ecógrafos VINNO cuentan con esta tecnología, esto le proporcionará una ventaja estratégica a su clínica u hospital.
Realizará estudios, que normalmente requieren mucho tiempo, en un instante.
- PWV - La ecografía Doppler ahora se considera una herramienta confiable para medir la Velocidad de la Onda de Pulso carótido-femoral (cfPWV), el "estándar de oro" de la rigidez arterial.
Sin embargo, la medición de cfPWV solo se podía realizar mediante el método manual, lo que requiería mucho tiempo, dependía del operador y aumentaba los errores de medición. Por lo que VINNO desarrolló los algoritmos necesarios, poniendo a disposición dos métodos automáticos para la medición de la PWV.
Se puede medir de manera simple y no invasiva midiendo las presiones de pulso carotídeo y femoral, y el tiempo de retraso entre los dos o mediante otros métodos que se basan en el análisis de ondas de pulso.
VINNO definió cómo realizar la evaluación funcional de las arterias, gracias a su innovadora plataforma de RF de alta precisión, que rastrea el complejo íntima media con una resolución de 0.01mm., obteniendo los valores de PWV.
Un modo es con la función específica PWV. Se explora la arteria en cuestión y en ella el sistema realiza un seguimiento de la pulsatilidad del vaso, obteniendo de forma inmediata el valor de PWV.
El otro modo disponible para hacer esta medida se llama AMAS, donde se coteja el desfasaje entre el ECG y la pulsatilidad Doppler en la arteria Femoral.


- STRAIN / AUTOEF / STRESS ECHO - son herramientas avanzadas para estudios ecocardiograficos especializados, disponibles en los portátiles V6 y V8, ademas de varios modelos de rodantes.
Para ecocardio, estos equipos disponen tambien de un transductor Phase Array "S1-6P",
con tecnología de cristal único (Single Crystal), fabricado en exclusivo para VINNO, por VERMON S.A. en Francia.
El transductor "S1-6P" tiene una frecuencia de 2 a 6 MHz., un angulo de apertura de 90º, logrando imágenes de excelente calidad.
Vinno cuenta con Sonda Transesofágica, TEE de origen U.S.A. para sus equipos configurados para cardiología.
