
Gracias a la innovadora plataforma de procesamiento que integra VINNO Q , conseguimos las prestaciones de un ecógrafo tradicional en un dispositivo que cabe en la palma de la mano.
Su potente hardware y el exclusivo software desarollado por VINNO en exclusiva para la VINNO Q le permiten obtener imágenes con una definición sorprendente con una nueva generacion mas pequeña y con mas prestaciones.
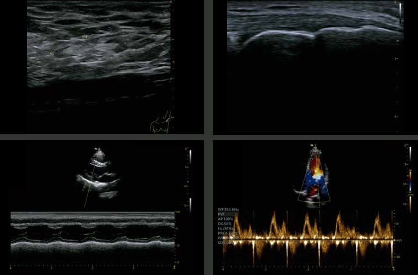
Estos ecógrafos se presentan en tres formatos, lineal, convexo y phase array, y disponen de modo B, M, Doppler Color y Doppler Pulsado.








Sin realce de aguja Con realce de aguja